Kill Lane, Foxrock, Dublin 18
Make an appointment : +353 1 2899002
[email protected]
Home
Our Practice
Mission Statement
Meet Our Team
Clinic Location
Client Testimonials
Why Choose Us?
How We Work
Overview
Treatment Results
Pricing & Fees
Treatments
Invisalign
Tooth Coloured Braces
Removable Appliances
Fixed Appliances
Retainers
Functional Appliances
Useful Information
Latest News & Blog
Downloads
Photo Galleries
Useful Links
Reviews & Comments
Mailing List
Contact
Make an appointment with us
continue >>
Follow Us
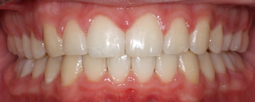
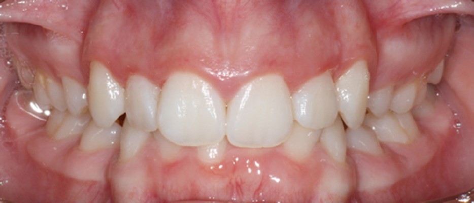
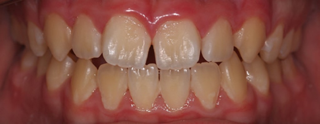
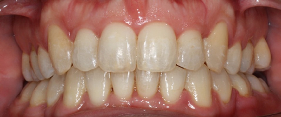
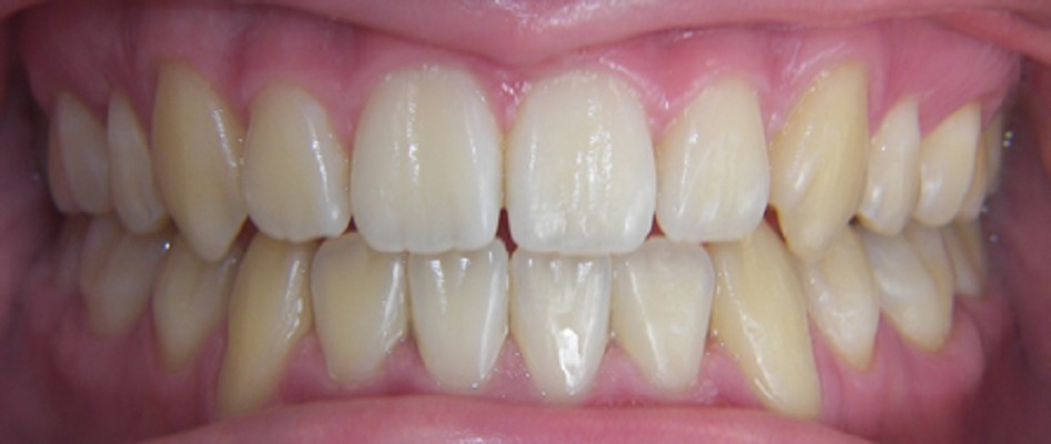
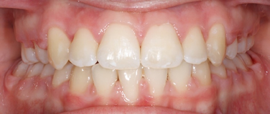
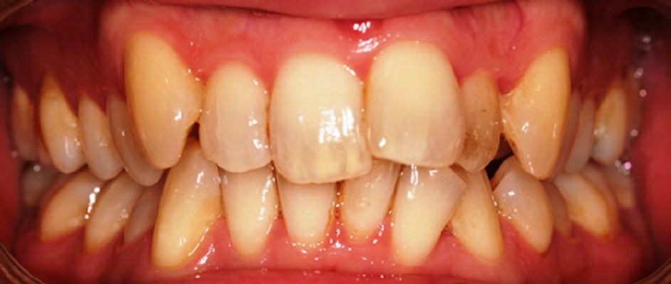
Photo Galleries > Before & After Gallery
Quick Links
Latest News & Blog
Downloads
Photo Galleries
Useful Links
Reviews & Comments
Mailing List
Book a visit with us today
Name
Email
Telephone
Add me to mailing list