Facebook Twitter Google Plus

blue line Overview blue line

“I don’t know why I didn’t get my teeth straightened years ago!”

This is a very common remark we hear from our patients. Making the decision to go for an orthodontic assessment can be difficult for many people so we like to ensure that once you pick up the phone to us, the most difficult part of the process is over! Our orthodontic assessment will leave you with a clear understanding of the problems that exist with your teeth and the options available to achieve the smile you always wished for. Going down the road of braces on the teeth is a big decision and the purpose of our assessment process is to provide you with all of the information to allow you to make a final decision that you are 100% happy with.

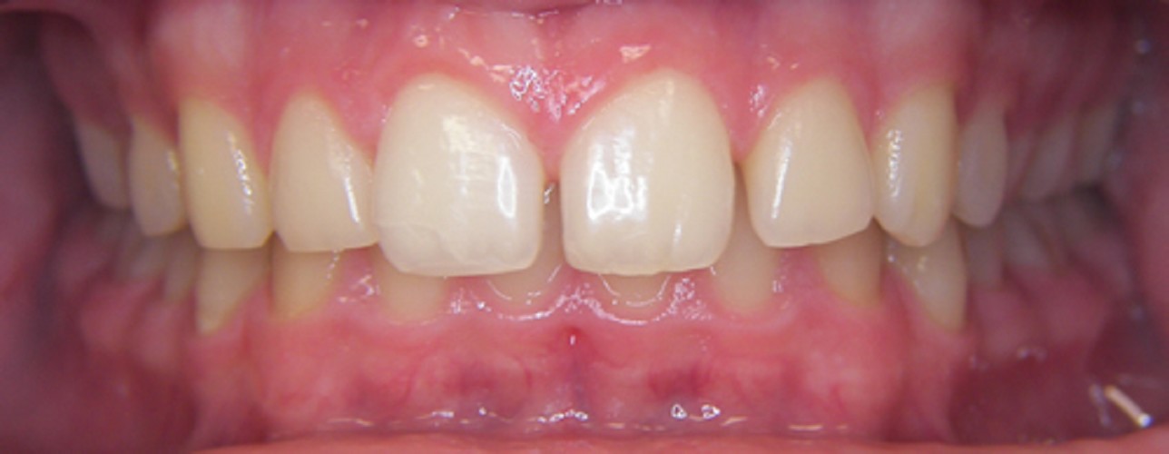
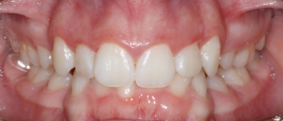
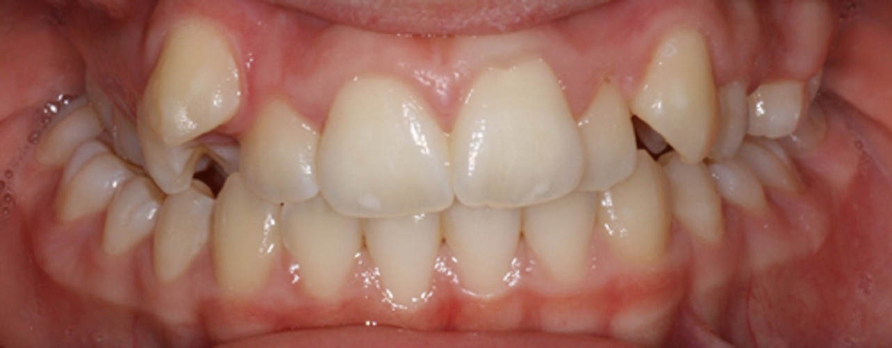
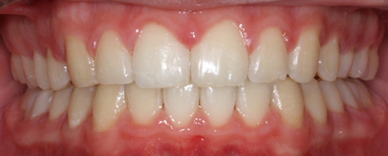
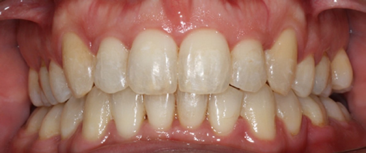
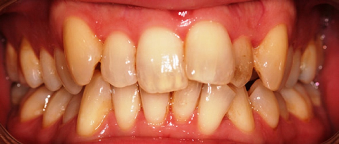
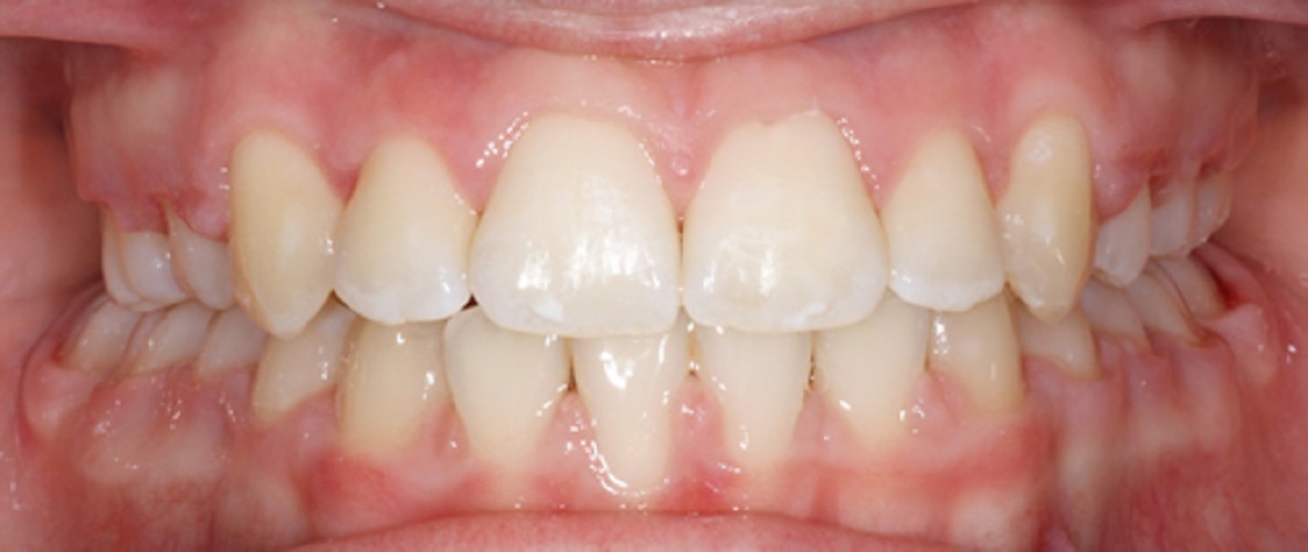
Some Related Images


See All Photo Galleries

Book a visit with us today

Name
Email
Telephone


Add me to mailing list


Our Experts

Orthodontist / Owner
+353 1 2899002

Client Comments

Tuesday 9 April 2013

Trusting Dermot Kavanagh’s professional opinion saved us a considerable amount of money

Tuesday 9 April 2013

The best investment I have ever made. I am no longer self-conscious about my teeth and I have no problem smiling


blue line Explore Our Website blue line


About

Visit one of our two practices in Dublin meet our professional orthodontic team in Dublin

Support and information

We will assess your case and provide you with all the options to make your decision

Contact Us

See our photo galleries, read our blog and see the web links we think will be of use